See what's new at Retina Consultants San Diego
![]()
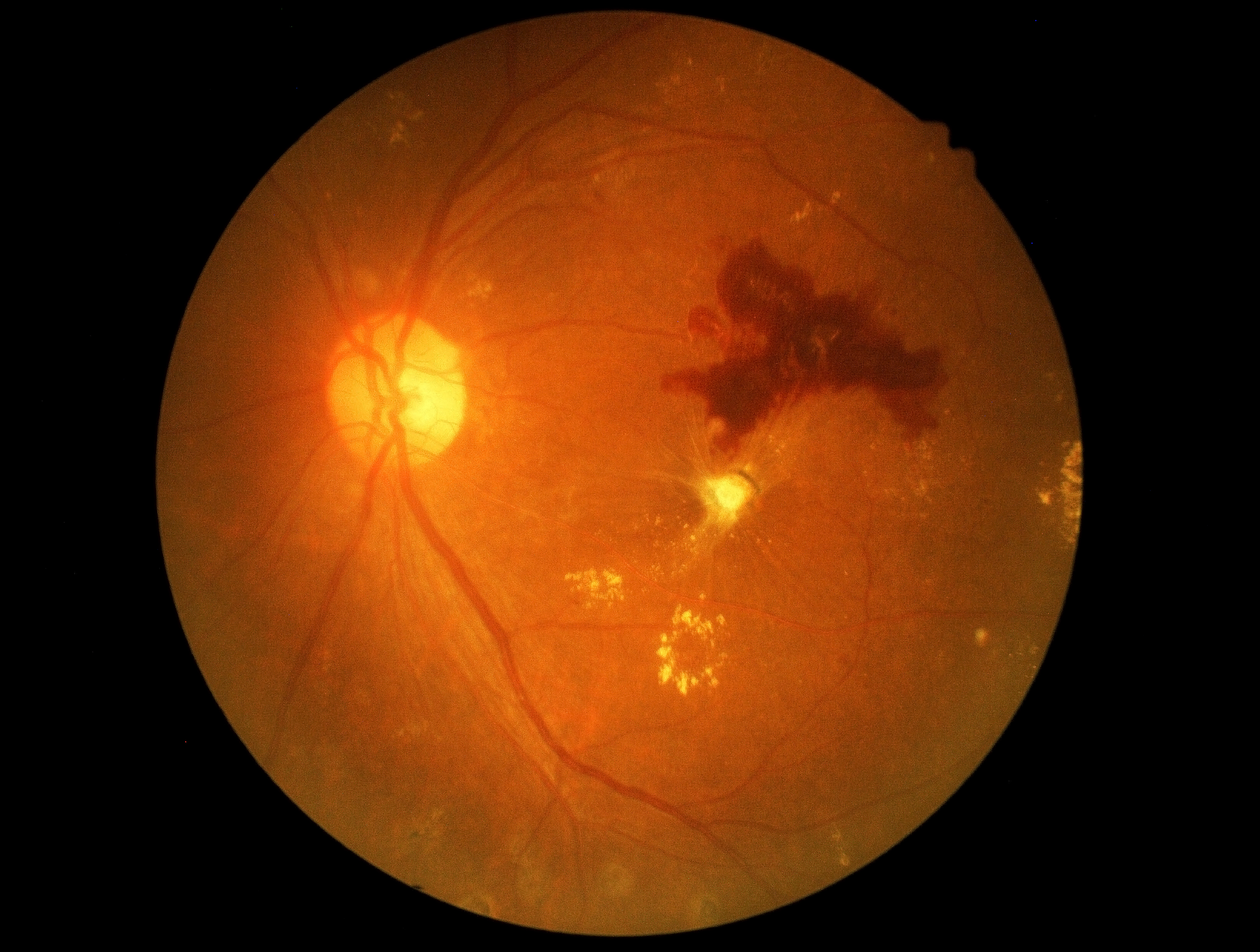
Diabetic Retinopathy Prevention and Management: What Patients Should Know
Posted on January 29, 2025Categories: Retinal Conditions![]()
![]()
![]()
Age-Related Macular Degeneration: How to Preserve Your Vision
Posted on January 2, 2025Categories: For Patients![]()
![]()
![]()
![]()
![]()
![]()










