Categories: For Doctors
See what's new at Retina Consultants San Diego
![]()
![]()
![]()
![]()
![]()
![]()
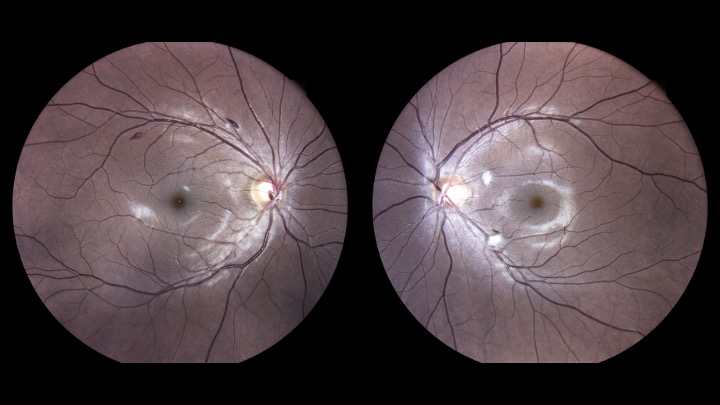
The Effect of Anti-VEGF Injections on Macular Atrophy
Posted on February 2, 2020Categories: For Doctors![]()
![]()
Retina Subspecialty Day at the American Academy of Ophthalmology 2017
Posted on January 17, 2018Categories: For Doctors








